img

Что это такое?

Субпериостальные (надкостные) имплантаты, представляют собойточную копию участка костной ткани требующей восстановления

Субпериостальный имплантат имеет так называемую гидрофильную нано-и микроразменную шероховатую структуру идентичную кости человека.Его губчатая структура обеспечивает легкое и быстрое сцепление титанового имплантата с мягкими тканями десны и успешную остеоинтеграцию.

Компьютерная точность при разработке

Компьютерная точность при разработке

Альтернатива All-on-4
Без сверления кости (без боли)
Без костной пластики
Без ограничений по нагрузке
img

Дизайн каждого имплантата разрабатывается индивидуально с использованием компьютерной томографии и трехмерным моделированием конструкции.

img

Изготавливается изделие при помощи 3D принтера, методом лазерного селективного спекания титана

Субпериостальный имплантат имеет низкий процент отторжения и пожизненную гарантию. Не требует сверления и совершения сложных хирургических манипуляций

Дизайн каждого имплантата разрабатывается индивидуально с использованием компьютерной томографии и трехмерным моделированием конструкции. Изготавливается изделие при помощи 3D принтера, методом лазерного селективного спекания титана

Наши пациенты с новыми субпериостальными имплантами

Больше 15 лет специализируемся на данной технологии, помогли тысячам пациентам вернуть зубы, как в молодости

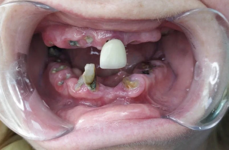
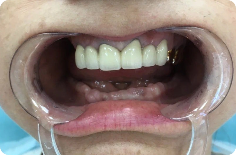
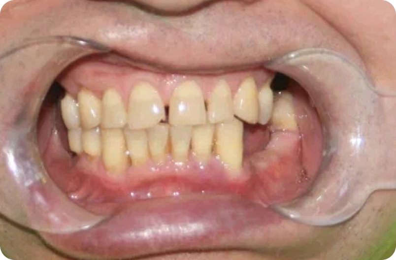
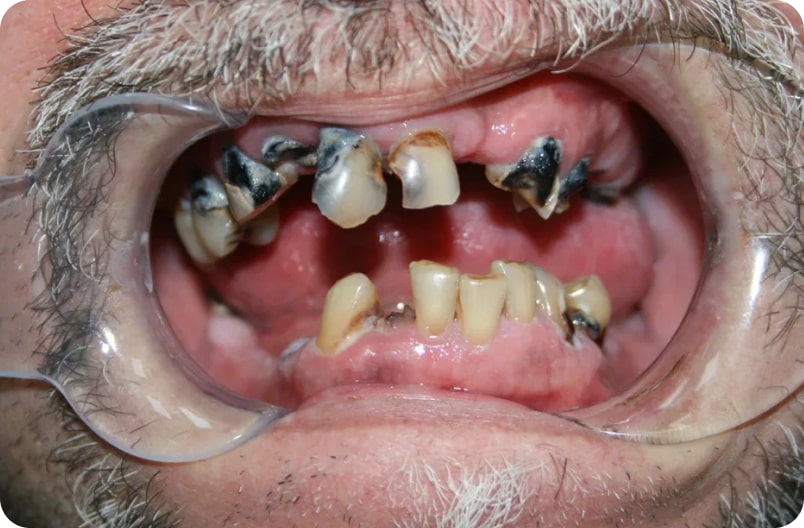
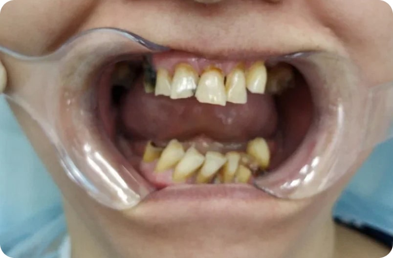
До
После

Нина Филатова

78 лет

Пациентку беспокоило отсутствие большого количества зубов. Для классической имплантации было недостаточно костной ткани.

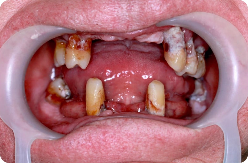
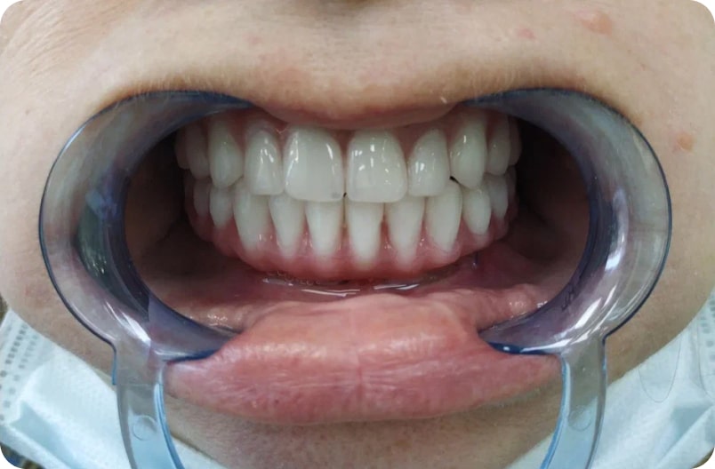
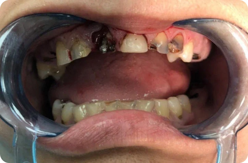
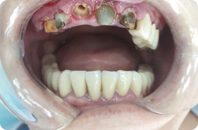
До
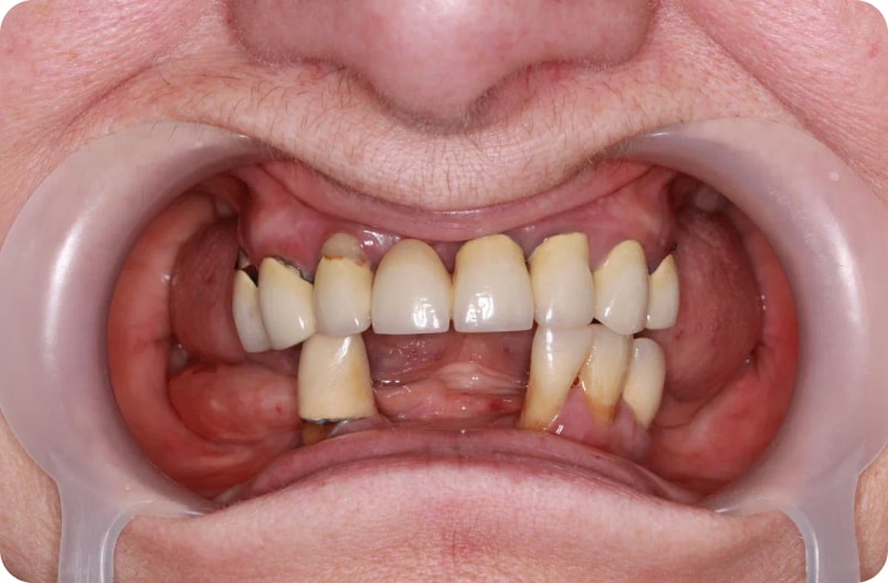
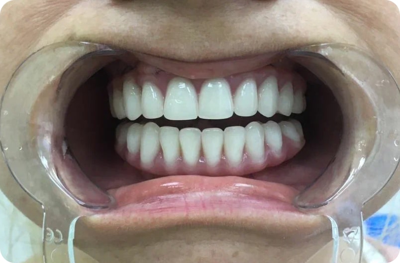
После

Диана Ерестова

39 лет

Проведен All-on-4 имплантация. На имплантах Nobel восстановлены оба зубных ряда и жевательная функция. Шикарное преображение, в еде больше нет ограничений, можно всё.

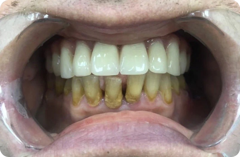
До
После

Екатерина Гестрова

35 лет

Сложнейшая операция All-on-4 и восстановление анатомии мягких тканей, чтобы не было видно искусственный десны, ведь пациент молод. Имплантаты Straumann на обе челюсти. Пациент хочет жить, счастлив.

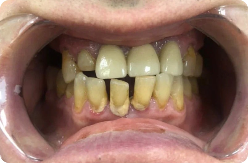
До
После

Любовь Ласточкина

75 лет

Проведено протезирование All-on-4 на имплантах Nobel. Восстановлена эстетика и жевательная функция. Пациент помолодела, подтянулось лицо, ушли морщины.

До
После

Виктор Пенский

56 лет

Проведена имплантация All-on-4 на имплантах Nobel. Восстановлены оба зубных ряда!

До
После

Олег Ротский

50 лет

All-on-4 на имплантах Osstem. Восстановлены оба зубных ряда. Пациент счастлив и улыбается!

До
После

Андрей Кратов

47 лет

Проведена имплантация "Всё-на-4" на имплантатах Straumann на обе челюсти. Пациент счастлив!

До
После

Виктория Инская

40 лет

Проведено протезирование All-on-4 на обе челюсти. Восстановлена эстетика и жевательная функция. Пациент снова кушает любимую еду.

До
После

Ольга Нестерова

37 лет

Проведено протезирование All-on-4 на обе челюсти. Восстановлена эстетика и жевательная функция. Пациент снова кушает любимую еду.

До
После

Татьяна Керт

56 лет

Проведено протезирование All-on-4 на обе челюсти. Восстановлена эстетика и жевательная функция. Пациент снова кушает любимую еду.

До
После

Надежда Курсова

77 лет

Проведено протезирование All-on-4 на обе челюсти. Восстановлена эстетика и жевательная функция. Пациент снова кушает любимую еду.

До
После

Анатолий Первый

47 лет

Проведено протезирование All-on-4 на обе челюсти. Восстановлена эстетика и жевательная функция. Пациент снова кушает любимую еду.

До
После

Петр Мирный

57 лет

Проведено протезирование All-on-4 на обе челюсти. Восстановлена эстетика и жевательная функция. Пациент снова кушает любимую еду.

Для кого подходят ?

Субпериостальная имплантация проводится в случаях, когда костная ткань в области будущего имплантата не соответствует всем требованиям по установке корневидного имплантата.

Спиральный томограф дает четкую структуру кости по всему размеру и печатает точную копию челюсти. Для этого не требуется какие-либо хирургические вмешательства, как это было ранее. Кроме этого томограф дает возможность смоделировать итоговый результат примыкания имплантата к костной ткани пациента. Он дает точные данные по высоте, толщине кости, обходя все нервные окончания

Без костной пластики

Альтернатива
All-on-4

Субпериостальный имплантат имеет низкий процент отторжения и пожизненную гарантию. Не требует сверления и совершения сложных хирургических манипуляций
img

Постоянный протез

Не требуют костной пластики, можно нагружать несъемным постоянным усиленным зубным протезом

img

Иной подход

Концептуально иной подход к имплантации с минимальными хирургическими вмешательствами

img

Без сверления

Не требуется рассверливать кость, устанавливаются поверх кости, выдерживают нагрузку в 4 раза больше чем классические имплантаты

img

Приживаемость

Минимум хирургических вмешательств, минимум возможных осложнений, максимум полезной нагрузки и срок службы

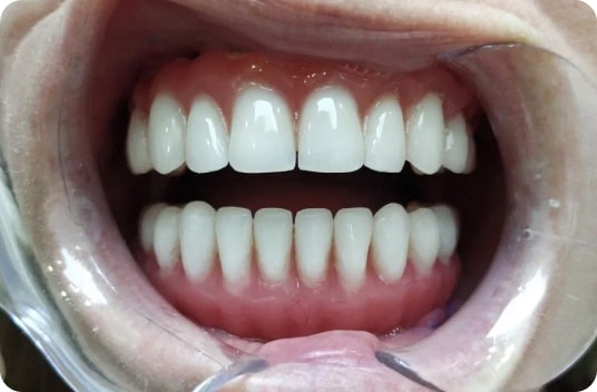
Субпериостальные импланты

Субпериостальные импланты

Сегменты верхней и нижней челюсти

  • Без костной пластики
  • Без сверления
  • Альтернатива Зигомам
  • Срок службы более 20 лет
All-on-4
img
Субпериостальный имплант
img
Важно

Основная область применения субпериостальных имплантов – восстановление зубов при наличии слишком тонкой костной ткани

Преимущества
субпериостальной имплантации перед технологией all-on-4

  • Нет необходимости наращивать кости и синус-лифтинг
  • Идеальная «посадка» на альвеолярный отросток, т.к. системы изготавливаются индивидуально,
  • Отсутствие риска повредить крупные сосуды и нервные пучки внутри кости челюсти,
  • Без костной пластики, без повреждения кости, без ограничений по нагрузке
  • Планируются по каждый клинический случай, изготавливаются индивидуально, устанавливаются по шаблону. Возможность врачебной ошибки сведена к нулю

В каких случаях используют субпериостальные импланты

  • При наличии слишком тонкой костной ткани.
  • Нет возможности уделять продолжительное время наращиванию костной ткани (которое травматично и не всегда эффективно)
  • медицинские противопоказания к установке классических имплантов
  • Субпериостальные имплантатов почти не травмируют сохранившуюся костную ткань.
img

Как проходит установка субпериостальных имплантов

Надкостный или поднадкостничный искусственный корень, который может быть рассчитан как на один зуб, так и для восстановления всего зубного ряда.

#1

Снимок на томографе

Врач терапевт соберёт анамнез, распишет комплекс лабораторных исследований, необходимых именно в вашем случае

#2

Создание импланта

По результатам анализов распишет подходящий именно для вас индивидуальный курс инфузионной терапии

#3

Установка

Максимальное достижение необходимо терапевтического эффекта после курса капельниц. Улучшение общего состояния

Распаковка
имплантов

img

В таком виде ваши индивидуальные импланты которые спроектированы и сделаны конкретно под ваш клинический случай приходит к нам. Они могут быть как на всю челюсть, так и для одного зуба

Эти импланты выручают если очень сильно атрофирована кость, нижнечелюстной нерв находится близко к кости, т.е. нет места чтобы установить обычный имплант

Сергей Меркушев, руководитель «ЭспаДент»

img

Наша команда специалистов

Больше 15 лет специализируемся на данной технологии, помогли тысячам пациентам вернуть зубы, как в молодости

Закариев
									Заур Закариевич
certificate

Закариев Заур Закариевич

Врач стоматолог- хирург-имплантолог
Стаж работы: 15+ лет
Кислица Николай Семенович
certificate

Кислица Николай Семенович

Врач стоматолог- ортопед
Стаж работы: 17+ лет
Малиновский
									Дмитрий Сергеевич
certificate

Малиновский Дмитрий Сергеевич

Врач стоматолог- имплантолог
Стаж работы: 12+ лет
Отзывы на:
Yandex
review
Отзывы на:
Google
review
Отзывы на:
Kleos
review
Отзывы на:
Smile
review
Отзывы на:
Yell
review

Что пишут
наши пациенты

В отличии от классической имплантации, когда каждый зуб заменяется имплантом, методика All-on-4 позволяет установить в челюсть только

Yandex
4,9/5
110 отзывов
Yell
4,9/5
110 отзывов
Google
4,9/5
110 отзывов
Zoon
4,9/5
110 отзывов
Kleos
4,9/5
110 отзывов
Startsmile
4,9/5
110 отзывов

Часто задаваемые вопросы

Я, как и многие, отношусь к тем, кто не любит стоматологов, особенно, если они предлагают сделать чистку зубов. Чистка зубов - это процедура, которая у меня ассоциируется со страхом, болью и даже

Как изготавливаются субпериостальные импланты?

Конструкции уникальны не только по своей структуре, но и по типу изготовления. При их создании задействуется печатная технология. Удается максимально точно смоделировать систему, чтобы она идеально прилегала к кости. Каждый имплант имеет индивидуальный серийный номер, на него распространяется гарантия производителя.Внешне данные импланты напоминают тонкий каркас в форме седла, выполненный из прочного титана или кобальт-хрома. Губчатая поверхность имеет множество микропор, в которые быстро прорастает костная ткань. У них есть опорная часть, которую надевают на альвеолярный отросток, стабилизирующие балки, головки и шейки для крепления протеза.

Как правильно подготовиться к процедурам?

Установка субпериостальных имплантов ничем не отличается от других подобных стоматологических процедур:
1. Осмотр стоматолога;
2. Изучение анамнеза пациента;
3. Рентгенографическое исследования;
4. Дополнительные анализы при необходимости;
5. Санация ротовой полости;
6. Разработка плана операции;
7. Информирование пациента.

Какой срок реабилитации после установки импланта ?

Приживление конструкции происходит в течение 2-4 месяцев

Как проходит имплантация?

Двухэтапный метод считается традиционным и наиболее травматичным, так как требует двойного хирургического вмешательства. На первом этапе хирург отделяет надкостницу от челюстной кости и снимает слепки, по которым затем в лаборатории изготавливают индивидуальный имплант. Второй этап проводят спустя 5—10 дней. Он заключается во вживлении субпериостальной конструкции и ушивании мягких тканей. Период реабилитации после этих манипуляций длится 3—5 месяцев, а приживление импланта может доставлять пациенту дискомфорт. Сейчас этот метод используют крайне редко. Одноэтапный метод наименее травматичный и современный, так как не требует снятия слепков. Для диагностики используется компьютерная томография. Специальная программа создает 3D-модель челюстной кости пациента. Технология CAD/CAM позволяет сначала спроектировать виртуальную конструкцию импланта, а затем изготовить ее на автоматическом оборудовании. Метод отличается высокой точностью изготовления, минимальными затратами времени. Процедура установки аналогична одноэтапному методу с другими видами имплантов.

Контакты

Время работы:

Ежедневно 9:00 - 21:00

Звоните:
+7 499 370 37 99
7 клиник в Москве рядом с метро:
  • м. «Динамо» ул. Мишина, д. 38
  • м. «ВДНХ» ул. Академика Королёва, д. 10
  • м. «Тропарево» ул. Академика Анохина, д. 60
  • м. «Новослободская» ул. Новослободская, д. 67/69
  • м. «Ленинский проспект» ул. Вавилова, д. 6
  • м. «Юго-Западная» Ленинский пр-т., д. 119
  • м. «Динамо» ул. Мишина, д. 38